Basophil 수치 (호염기구,호염구) 상승, 증가, 감소, 정상수치 에 대해서 알아보겠습니다. 호염기구는 백혈구에 포함된 세포로 그 수치는 검사 결과에서 함께 확인됩니다. 보통은 일정한 범위 안에서 유지되는 것이 일반적이며, 검사 결과에 따라 그 범위를 벗어나는 경우도 확인됩니다. 이러한 변화는 몸 안의 상태가 달라졌음을 보여주는 하나의 신호로 받아들여집니다.
검사 시점이나 개인의 상태에 따라 수치가 달라질 수 있으므로, 일정한 간격으로 반복 확인하여 흐름을 보는 과정이 중요합니다. 이처럼 호염기구 수치는 현재 몸 상태를 이해하는 데 참고가 되는 자료로 활용됩니다.
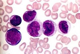
Basophil(호염기구) 수치란
호염기구는 혈액 속에 포함된 백혈구의 한 종류로 비교적 적은 비율을 차지하지만 중요한 역할을 담당하는 세포입니다. 외부에서 들어온 물질에 대한 반응 과정에 관여하며, 특히 히스타민과 같은 물질을 분비하는 특징을 가지고 있습니다. 이러한 작용을 통해 몸 안에서 나타나는 여러 반응의 흐름에 영향을 주게 됩니다.
호염기구 수치는 일반적인 혈액검사를 통해 확인할 수 있으며, 전체 백혈구 중에서 차지하는 비율이나 절대 개수로 표시됩니다. 검사 결과에 나타나는 수치는 현재 몸 상태를 간접적으로 보여주는 참고 자료로 활용됩니다. 특정 상황에서는 수치의 변화가 나타날 수 있으며, 이는 몸 안에서 일어나는 반응의 한 부분으로 이해됩니다.
수치는 다른 혈액검사 항목과 함께 살펴보는 것이 중요합니다. 또한 검사 시점이나 개인의 상태에 따라 결과가 달라질 수 있으므로, 필요할 경우 일정 간격을 두고 반복적으로 확인하는 과정이 도움이 됩니다.
Basophil(호염기구) 정상 수치 범위
호염기구의 정상 수치는 검사 방법과 기준에 따라 조금씩 차이가 있을 수 있지만, 일반적으로 성인을 기준으로 혈액 1마이크로리터(µL)당 약 0개에서 300개 정도를 정상 범위로 봅니다. 절대 개수로 표현하는 경우가 있으며, 이를 절대 호염기구 수치라고 합니다.
다른 방식으로는 전체 백혈구 중에서 차지하는 비율로 나타내며, 보통 약 0%에서 1% 정도가 정상 범위로 알려져 있습니다. 다른 백혈구에 비해 상대적으로 낮은 비율을 유지하는 것이 특징입니다.
연령이나 검사 환경에 따라 약간의 차이는 있을 수 있으며, 검사 기관마다 참고 범위가 다르게 제시될 수 있습니다. 따라서 검사 결과를 확인할 때에는 해당 검사실에서 제시한 기준을 함께 참고하는 것이 중요합니다. 또한 한 번의 측정값만으로 판단하기보다는 동일한 조건에서 반복적으로 확인하여 수치의 흐름을 살펴보는 것이 보다 정확한 이해에 도움이 됩니다.
Basophil(호염기구) 수치 증가 원인
Basophil 수치가 비정상적으로 높아진 상태를 호염기구 증가증(Basophilia)이라 합니다. 이는 주로 알레르기, 염증 반응 또는 특정 혈액 질환에 의해 발생할 수 있습니다. 호염기구 증가증이 발견되면 이를 유발하는 근본 원인을 규명하고 적절한 치료를 통해 Basophil 수치를 조절해야 합니다.
알레르기 반응
Basophil 수치는 알레르기 반응이 있을 때 눈에 띄게 증가할 수 있습니다. 꽃가루, 먼지, 음식, 약물, 곤충의 독 등 외부에서 들어온 물질에 몸이 민감하게 반응하면, 면역 체계가 방어하려고 합니다. 이 과정에서 Basophil은 내부에 저장된 히스타민을 방출하게 되는데, 혈관을 확장시키거나 주변 조직에 영향을 주며 다양한 반응을 일으킵니다.
알레르기 반응이 반복되거나 강하게 나타나면 Basophil의 수가 높아질 수 있습니다. 특히 호흡기나 피부에 알레르기 증상이 동반된 경우에는 이 수치가 주목됩니다.
만성 염증성 질환
Basophil은 염증 반응과 밀접하게 관련되어 있는 세포로 염증이 오래 지속되면 그 수가 점차 증가하는 경향을 보입니다. 기관지염, 천식, 피부염, 자가면역 질환과 같이 오랜 기간 동안 면역 반응이 계속되는 상태에서는 Basophil이 꾸준히 자극을 받습니다. 면역 세포들이 염증 부위로 모이게 되고, Basophil도 일정 비율로 증가할 수 있습니다.
염증이 심하거나 자주 반복되면 Basophil은 혈액 내에서 일정 수준 이상으로 유지될 수 있습니다. 이런 경우에는 Basophil이 혈관을 통해 이동하면서 히스타민이나 기타 물질을 분비하여 면역 반응을 조절합니다.
골수 질환
골수는 혈액 세포를 만들어내는 기관으로 이상이 생기면 Basophil을 포함한 여러 혈액 세포들의 수에 변화가 생길 수 있습니다. 골수에서 세포가 비정상적으로 많이 만들어지는 경우 Basophil 수치도 함께 증가하게 됩니다.
만성 골수성 백혈병이나 기타 혈액 질환에서는 이러한 변화가 잘 나타날 수 있습니다. Basophil 수가 급격히 증가하거나, 다른 백혈구 수치들과 함께 동시에 변화하는 경우에는 골수의 상태와 관련이 있을 가능성이 높습니다.
감염이나 회복기
감염이 생긴 후 회복하는 과정에서도 Basophil 수치가 높게 나올 수 있습니다. 바이러스에 의한 감염이 끝나갈 무렵, 면역 체계가 다시 균형을 잡아가는 과정에서 Basophil이 일시적으로 증가할 수 있습니다.
감염이 진행 중일 때는 다른 백혈구들이 주로 활성화되지만, 회복기에는 Basophil을 포함한 다양한 면역 세포들이 혈액 속에서 다시 분포를 조절하게 됩니다. 이때 혈액 검사에서는 Basophil의 비율이 상승해 보일 수 있으며, 다른 면역 세포들과 비교해보았을 때 그 변화가 잘 나타날 수 있습니다. 이러한 경우 수치는 갑작스럽게 높아졌다가 시간이 지나면서 다시 원래 상태로 돌아가는 경향을 보이기도 합니다.






Basophil(호염기구) 수치 감소 원인
호염기구 감소증은 Basophil 수치가 비정상적으로 낮아진 상태를 호염기구 감소증(Basopenia)이라 합니다. 주로 스트레스, 면역 억제제 또는 심각한 감염과 연관이 있습니다. 이 상태는 면역 체계 약화를 나타낼 수 있으며 이를 개선하기 위한 원인 치료와 면역 강화 방법이 필요합니다.
급성 감염
Basophil 수치는 급성 감염이 있을 때 낮아질 수 있습니다. 세균이나 바이러스가 몸에 침투하면 면역 체계가 즉각 반응하면서 여러 종류의 백혈구가 빠르게 동원됩니다. Basophil을 포함한 일부 세포의 혈중 수치가 일시적으로 줄어들 수 있습니다.
감염 초기에 주로 활성화되는 백혈구는 호중구와 같은 다른 종류들이며, Basophil은 상대적으로 혈액 내에서 적게 관찰될 수 있습니다. 혈액 검사에서는 Basophil 비율이나 절대 수치가 낮게 나타나는 경우가 많습니다.
스트레스 상태
스트레스가 심할 때 Basophil 수치가 감소하는 경우가 있습니다. 스트레스 상황에서는 신체가 여러 호르몬을 분비하게 되는데, 특히 코르티솔 같은 스트레스 호르몬이 혈액 내 백혈구 분포에 영향을 줍니다.
Basophil뿐 아니라 일부 면역 세포들의 수치가 줄어들 수 있습니다. 스트레스가 지속되면 면역 반응의 균형이 달라지고, 혈액 검사상 Basophil 수치가 낮게 나오는 경우가 발생합니다.
스테로이드 사용
스테로이드는 염증을 줄이고 면역 반응을 억제하는 효과가 있어 여러 질환에서 사용됩니다. 이 약물은 혈액 내 여러 면역 세포의 수에 영향을 주는데, Basophil의 수치를 낮추는 경향이 있습니다.
스테로이드가 작용하면 Basophil이 혈액 내에 적게 나타나게 되며, 검사 결과에서 Basophil 수치가 감소한 것으로 확인됩니다. 약물이 체내 면역 체계 활동을 조절하는 과정에서 나타나는 자연스러운 변화이며, 다른 면역 세포 수치 역시 함께 변동할 수 있습니다.
갑상선 기능 항진증
갑상선이 과도하게 활동하면서 몸의 대사율이 증가하면, 다양한 혈액 세포의 수와 기능에 변화가 생기기 쉽습니다. 이 과정에서 Basophil이 혈액 내에서 줄어드는 경향이 관찰됩니다.
갑상선 호르몬 변화는 면역 체계에도 영향을 미쳐, 백혈구 수치의 변동을 일으킬 수 있습니다. Basophil과 같은 면역 세포는 대사 활동과 관련된 신호에 반응하여 수치가 감소하는 경우가 나타납니다. 혈액 검사 결과를 해석할 때 함께 고려되어야 하는 중요한 요소 중 하나입니다.






Basophil(호염기구) 수치 관리 방법
적절한 식이요법
식이요법은 Basophil 수치를 조절하는 데 중요한 역할을 합니다. 과일과 채소를 충분히 섭취하여 비타민과 미네랄을 보충하는 것이 좋습니다. 특히 항염증 효과가 있는 오메가-3 지방산을 섭취하는 것이 Basophil 수치 조절에 도움이 될 수 있습니다.
오메가-3는 생선, 아마씨, 호두 등에 풍부하게 들어 있습니다. 또한, 설탕과 고지방 식단은 Basophil 수치를 증가시킬 수 있으므로 이를 제한하는 것이 바람직합니다. 과도한 알콜 섭취나 가공식품 섭취도 Basophil 수치를 높일 수 있기 때문에 조절이 필요합니다.
규칙적인 운동
규칙적인 운동은 면역 시스템을 강화하고 염증을 줄이는 데 도움이 됩니다. Basophil 수치를 조절하려면 적당한 강도의 운동을 꾸준히 하는 것이 중요합니다. 운동은 혈액 순환을 촉진시키고, 스트레스를 완화시키며, 염증을 줄이는 효과가 있습니다.
알레르기 관리
알레르기는 Basophil 수치를 증가시키는 주요 원인 중 하나입니다. 알레르기가 있는 사람은 특정 알레르기 원인물질에 노출되지 않도록 관리하는 것이 중요합니다.
예를 들어, 꽃가루, 먼지, 애완동물의 털 등이 알레르기 반응을 일으킬 수 있으므로 이러한 물질을 피하거나, 알레르기 약물을 사용하는 것이 필요합니다. 알레르기 관리에는 항히스타민제나 다른 약물을 사용하는 방법도 있지만, 적절한 치료를 받는 것이 중요합니다.
스트레스 관리
스트레스는 Basophil 수치에 큰 영향을 미칩니다. 스트레스가 많으면 면역 시스템이 자극받고, 염증 반응이 유발될 수 있습니다. 이로 인해 Basophil 수치가 증가할 수 있기 때문에, 스트레스를 관리하는 것이 중요합니다.
정기적인 건강 검진
Basophil 수치를 관리하는 또 다른 중요한 방법은 정기적인 건강 검진을 받는 것입니다. 정기적으로 혈액 검사를 통해 Basophil 수치를 모니터링하고, 이상이 있을 경우 즉시 조치를 취하는 것이 중요합니다. Basophil 수치가 높거나 낮은 경우, 그 원인을 찾기 위해 추가적인 검사나 진료가 필요할 수 있습니다.
약물 치료
Basophil 수치가 비정상적으로 높을 경우에 약물 치료가 필요할 수 있습니다. 의사의 처방에 따라 항히스타민제나 스테로이드제를 사용할 수 있으며, 알레르기 반응이나 염증을 줄이는 데 효과적입니다. 또한, Basophil 수치가 계속해서 높아지는 경우 원인을 찾고 해결하는 약물을 사용하는 것이 필요합니다.





